[INDEX]
[←]
[→]
コメント
:
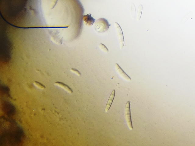
乾腐病 フザリウム属菌の分生子